Двухдневный курс по композитным винирам без препарирования, 26 - 27 сентября 2023 года

С 26 по 27 сентября в Нижнем Новгороде (ул. Октябрьская 11а) состоится курс Ивана Рузина.

Практическая часть:

Два дня интенсивной практики проводится по клиническому протоколу Ивана Рузина, с подробным объяснением всех этапов работы совместно с ним.

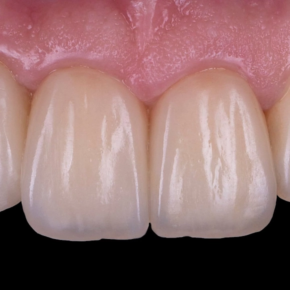
  1. Морфология фронтальной группы зубов. Эстетические и функциональные характеристики фронтальной группы зубов.
  2. Особенности планирования эстетических работ. На что обращать внимание? Какие факторы влияют на успешность реставрации?
  3. Выбор композитного материала для композитных виниров.
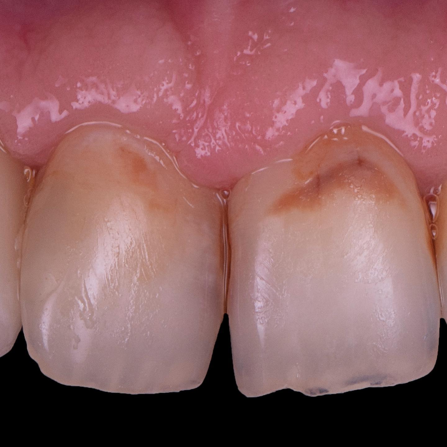
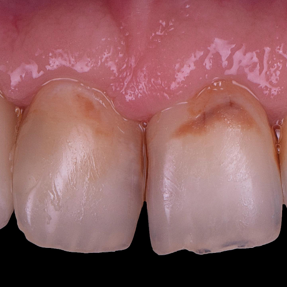
  4. Хроматические эффекты. Как сделать живой режущий край? Как создать прозрачность? Нюансы работы с краской.
  5. Клинический случай работы в натуральных оттенках. Особенности и поэтапный протокол.
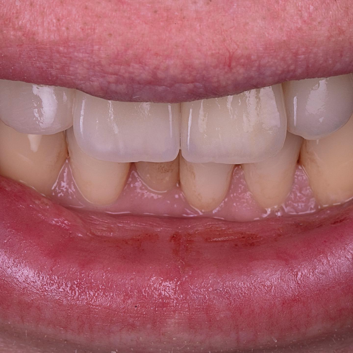
  6. Комбинация отбеливания и реставрация. Максимальный результат при минимальной реставрации.
  7. Блич-реставрации. Особенности работы с бличевыми оттенками.
  8. Комбинация прямой и непрямой реставрации в формате тотальной реабилитации.
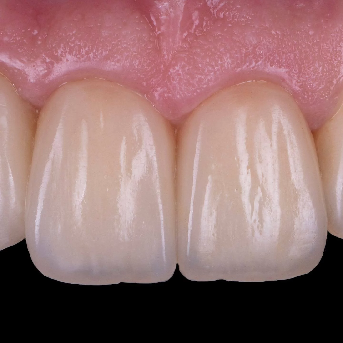
  9. Финишная отделка реставрации. Как создать форму? Нюансы и трюки финишной отделки, котловые помогут интегрировать реставрацию по форме.
  10. Поддесневая обработка. Как и чем полировать под десной?
  11. Нанесение текстуры вестибулярной поверхности. Набор полировки и поэтапный протокол.
  12. Факторы, влияющие на долгосрочность реставрации. Критерии успеха и особенности ухода.

Если Вы давно хотели начать делать реставрации в подобном варианте, самое время прийти на Курс! Мы закроем все 100% вопросов и Вы уже со следующего дня сможете начать интегрировать композитные реставрации в свою практику.

Теоретическая часть:

Теоретическая часть (вебинар).

Вебинар на тему “Композитные виниры. Натуральные оттенки и блич-реставрация”.

ВАЖНО!

Каждому участнику предоставляется:

  • Микроскоп или бинокулярные лупы.
  • Все необходимые инструменты и материалы.
  • Фантомные модели.
  • Наконечники.
  • Видео курс Ивана Рузина.

Подробная информация: https://practice.helios-trening.ru/ruzin_course


Двухдневный курс по композитным винирам без препарирования